
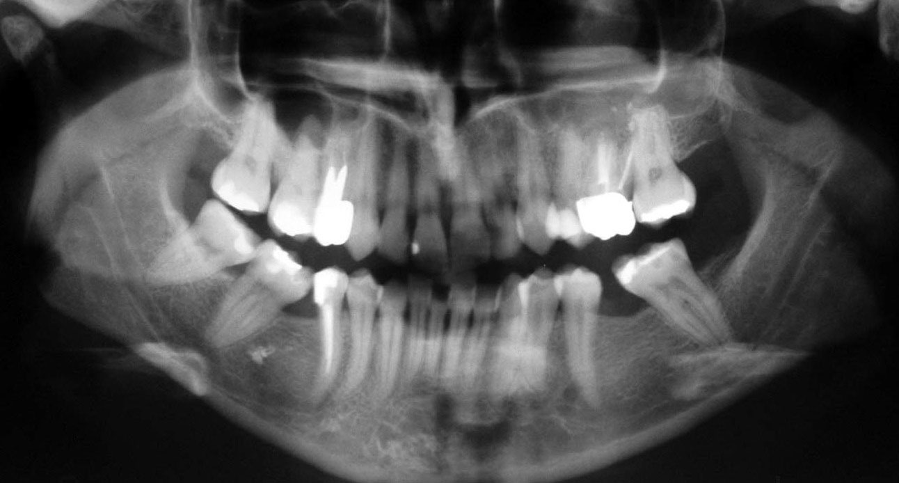
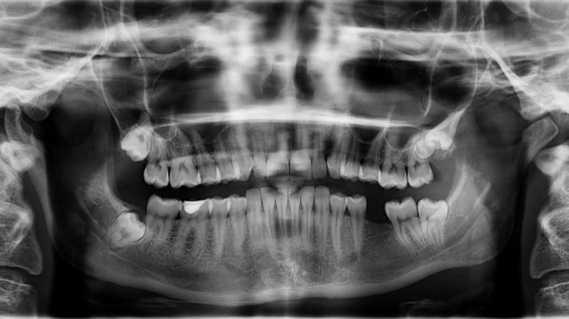
WebA differenza di quelle intraorali, la panoramica dentale è una radiografia extraorale, ovvero in cui l'apparecchio che produce le immagini e la lastra sono posizionati fuori dalla bocca.. WebLa radiografia panoramica delle arcate dentarie (OPT), permette la visualizzazione e la valutazione delle strutture dentali, ossee e articolari all’interno. WebPanoramica, detta anche ortopantomografia. Permette la visione completa delle ossa mascellari, dei denti, della zona nasale e delle articolazione temporo.
Dolore Alla Base Del Pene, Dolore al pene, 11.56 MB, 08:25, 6,788, Dr. Andrea Militello Andrologo Urologo, 2017-07-20T10:07:53.000000Z, 3, Dolore al pene, www.slideshare.net, 1024 x 768, jpeg, pene dolore, 20, dolore-alla-base-del-pene, New Topics
WebPanoramica, detta anche ortopantomografia. Permette la visione completa delle ossa mascellari, dei denti, della zona nasale e delle articolazione temporo. WebLa panoramica dentale è uno strumento diagnostico di fondamentale importanza nel caso di: Valutazione odontoiatrica prima e dopo interventi di tipo implantologico. Studio dei denti. WebL’ ortopantomografia (OPT), chiamata anche radiografia panoramica delle arcate dentarie, è una tecnica radiografica che produce un’ immagine dei denti, delle arcate dentarie e. WebL’ortopantomografia è comunemente nota con il nome di panoramica dentale o radiografia panoramica delle arcate dentarie. Questo esame si effettua con uno strumento detto. WebIn linea di massima, però, possiamo dire che i prezzi di una panoramica dentale sono abbastanza contenuti. Infatti possono partire da un costo base di 25 euro. WebLa panoramica dentale, detta anche ortopantomografia, è un esame radiologico che permette di ottenere un’immagine dei denti, delle arcate dentarie e delle ossa mascellari. WebL’ortopantomografia si esegue per lo studio panoramico dei denti, degli alveoli dentari, della mandibola e del mascellare superiore. E' fondamentale per un bilancio. WebL’ortopanoramica è una macchina che consente di ottenere una radiografia dentale e di effettuare una diagnosi precisa e sicura. E’ un apparecchio radiografico che produce su. WebL’ortopanoramica dentale è il primo esame che si esegue per osservare l’eruzione e la crescita dei denti del giudizio. In caso di denti da estrarre, come primo.
Visualizza Ep 5 - 🔴 È necessaria la 𝗽𝗮𝗻𝗼𝗿𝗮𝗺𝗶𝗰𝗮 𝗱𝗲𝗻𝘁𝗮𝗹𝗲 Nuovo
Richiesto Bea e Riky fanno la panoramica dentale
Viral DEVITALIZZARE UN DENTE: COME, QUANDO E PERCHÈ! di tendenza
Ulteriori informazioni Panoramica Dentale Cosa Si Vede aggiornato per te
Panoramica dentale: l'ortopantomografia virale

Panoramica dentale: cos'è e a cosa serve - Studio Dentistico Olivito di tendenza
Notizie Panoramica dentale I-Max - Owandy Radiology Italia

Argomenti Ortopanoramica: il partner per le radiografie dentali - Studio Cemisa Nuovo

La panoramica dentale: cosa c'è da sapere Nuovo

Radiologia dentale Lucca - Dr. Paola Del Bianco diventato virale

Nuovo Radiografia Dentale Digitale virale
Informazioni Panoramica dentale I-Max - Owandy Radiology Italia più

Vediamo Radiografia panoramica dentale digitale | Studio Dentistico Urbano Parma di tendenza

Qui Panoramica dentale | Mondragone, CE | Studio diagnostico Mondragone

Articoli ortopanoramica 3d pediatrica | Artemisia Roma Ultimo
Ultimi Panoramica dentale I-Max - Owandy Radiology Italia aggiornato

Informazioni Ortopantomografia-–-Panoramica-dentale-velletri – Dentista Ammendolia

Informazioni Panoramica dentale: cosa è | Centro Medico Di Blasio - Parma popolare




0 Comments