
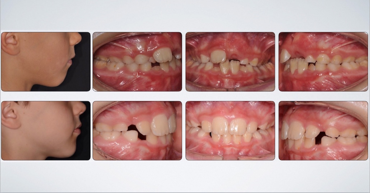
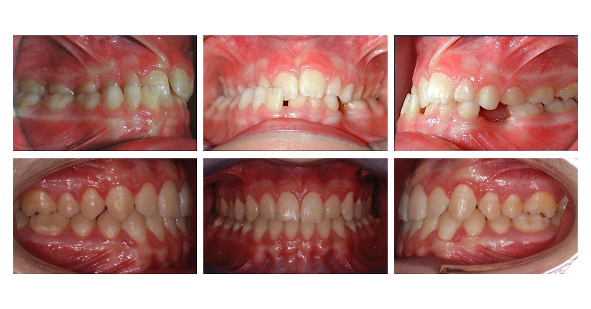
WebIl palato stretto è un problema che riguarda soprattutto i bambini e va trattato in tempo per evitare conseguenze più gravi come difficoltà a masticare e sovraffollamento dei denti.. WebUn palato stretto è definito quando l' osso mascellare superiore è più stretto di quello inferiore, ovvero quando la cosa corretta è esattamente il contrario; la mascella superiore.
Dolore Alla Base Del Pene, Dolore al pene, 11.56 MB, 08:25, 6,788, Dr. Andrea Militello Andrologo Urologo, 2017-07-20T10:07:53.000000Z, 3, Dolore al pene, www.slideshare.net, 1024 x 768, jpeg, pene dolore, 20, dolore-alla-base-del-pene, New Topics
WebUn palato stretto è definito quando l' osso mascellare superiore è più stretto di quello inferiore, ovvero quando la cosa corretta è esattamente il contrario; la mascella superiore. WebDopo questo primo ciclo di espansione del palato è necessario attendere che anche l’arcata inferiore si adegui a questo cambiamento. Si tratta di un’espansione dentale e non. Web20.02.2018 07:40. [#1] entro 24 ore. Dr. Luigi De Socio Dentista, Gnatologo, Ortodontista, Odontostomatologo 7.2k 395 7. Difficile darle una risposta esaustiva. WebIl palato stretto è piuttosto frequente nei bambini. Può creare affollamento dentale e problemi alla mandibola, difficoltà nella respirazione e nel linguaggio.. WebIl “palato stretto” rappresenta una delle più comuni malocclusioni che si riscontrano nei bambini. Avere un palato stretto vuol dire non avere tutto lo spazio per far. WebLa diagnosi precoce è fondamentale in questo caso. Il momento ottimale per trattare il palato stretto, infatti, è durante la crescita, mentre nell’adulto, sebbene sia.
Vediamo Il Palato stretto
Guarda Espansore rapido da ADULTI: funziona aggiornato
Oggetto Espansore Rapido del Palato diventato virale
Cosa sapere Palato Stretto Prima E Dopo cosa puoi vedere
Breve descrizione di una delle problematiche oggi più diffuse in ambito ortodontico.
Notizie Trattamenti orto-chirurgici - Dott. Nicola Preda aggiornato

Video Palato stretto - Dott. Nicola Preda

Attualmente - Palato stretto - Studio Dentistico Compri

Vediamo Trattamenti orto-chirurgici più

Argomenti Palato stretto - Laino Nuovo

Articoli Trattamento del palato stretto morso crociato Legnago

Commenti Il Palato stretto - YouTube diventato virale

Ultimi Palato stretto - Studio Dentistico Cesaretti Nuovo

Discussione Palato stretto - Ortodonzia L'Aquila virale

Qui Palato stretto popolare

Visualizza Palato stretto - Studio Ortodonzia Sandra Corti - Segrate (MI) diventato virale

Articoli Trattamenti orto-chirurgici - Studio Dentistico Compri aggiornato

Commenti Palato stretto - Ortodonzia L'Aquila aggiornato

Argomenti Casi clinici - Sammarco Ortondozia più

Oggetto Palato stretto - Ortodonzia L'Aquila Ultimo




0 Comments